
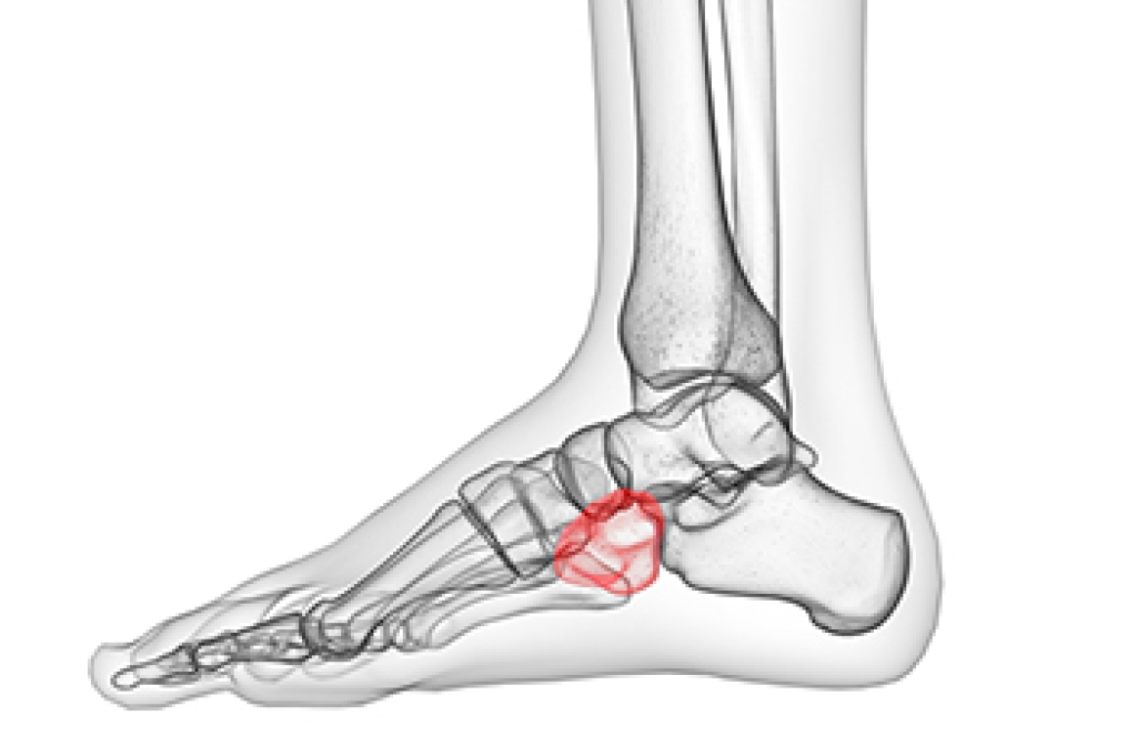
Cuboid syndrome or cuboid subluxation is a condition that comes from trauma or injury to the calcaneocuboid joint and surrounding ligaments. It is a common injury among athletes and dancers. The cuboid bone provides stability to the outer side of the midfoot and helps distribute the weight of the body across the foot to help with walking comfortably. With cuboid syndrome, the foot is painful, red, and occasionally, it is hard to move. Cuboid syndrome can be hard to diagnose because it has symptoms that can be related to different types of foot injuries. This condition can usually be diagnosed through physical exams where the foot is manipulated to try and bring on the symptoms of cuboid syndrome. If the results of these tests indicate cuboid syndrome, the podiatrist will possibly relocate the cuboid bone back into place or instruct the sufferer to refrain from putting weight on the affected foot and rest it to give the cuboid bone time to heal. If you have pain in the midfoot area, consult with a podiatrist who can properly diagnose the condition and provide the best treatment for you.
Cuboid syndrome, also known as cuboid subluxation, occurs when the joints and ligaments near the cuboid bone in the foot become torn. If you have cuboid syndrome, consult with one of our podiatrists from The Podiatry Center. Our doctors will assess your condition and provide you with quality foot and ankle treatment.
Cuboid syndrome is a common cause of lateral foot pain, which is pain on the outside of the foot. The condition may happen suddenly due to an ankle sprain, or it may develop slowly overtime from repetitive tension through the bone and surrounding structures.
Causes
The most common causes of cuboid syndrome include:
- Injury – The most common cause of this ailment is an ankle sprain.
- Repetitive Strain – Tension placed through the peroneus longus muscle from repetitive activities such as jumping and running may cause excessive traction on the bone causing it to sublux.
- Altered Foot Biomechanics – Most people suffering from cuboid subluxation have flat feet.
Symptoms
A common symptom of cuboid syndrome is pain along the outside of the foot which can be felt in the ankle and toes. This pain may create walking difficulties and may cause those with the condition to walk with a limp.
Diagnosis
Diagnosis of cuboid syndrome is often difficult, and it is often misdiagnosed. X-rays, MRIs and CT scans often fail to properly show the cuboid subluxation. Although there isn’t a specific test used to diagnose cuboid syndrome, your podiatrist will usually check if pain is felt while pressing firmly on the cuboid bone of your foot.
Treatment
Just as the range of causes varies widely, so do treatments. Some more common treatments are ice therapy, rest, exercise, taping, and orthotics.
If you have any questions, please feel free to contact one of our offices located in Richmond and Glen Allen, VA . We offer the newest diagnostic and treatment technologies for all your foot care needs.





